|
1703| 0
|
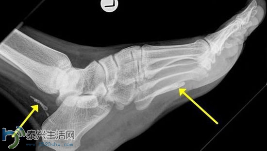
澳大利亚男子脚痛一年 手术取出两截寄生虫(图) |
扫一扫联系客服

泰兴生活网微信公众号 泰兴生活资讯服务平台,招聘求职、房屋租售、家政服务、二手闲置等信息发布! |

|挪车码|手机版|经营性ICP:苏B2-20120344|泰兴生活网
( 苏ICP备19030850号-1 )|苏公安网络备案:32128302001100
@泰兴生活网版权所有
GMT+8, 2026-2-17 18:36 , Processed in 0.161304 second(s), 34 queries .
Powered by Discuz! X3.4
Copyright © 2001-2021, Tencent Cloud.